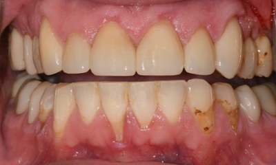
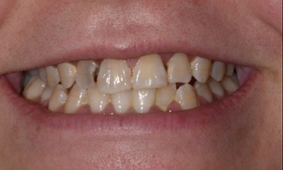
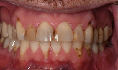
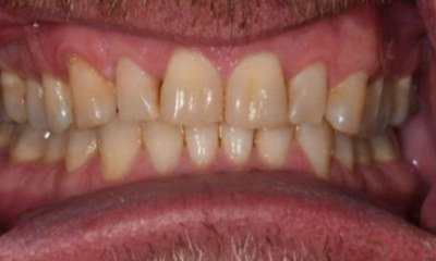
Smile Gallery

Are You Ready to Book Your Next Dental Visit?
"Friendly with knowledge is a win-win in my book!"

I met Dr. Niki Latiolais DDS for the first time today. She was very knowledgeable, not only about teeth, but about throat structure affecting sleep apnea, and the effect of mouth breathing at night affecting your teeth. Of course, Taylor McWilliams, my dental hygienist, is best at her job also. She truly cares about your comfort. I highly recommend Piney Woods Family Dentistry for all your oral needs.

-Cindy