Skip to main content
Piney Woods Family Dentistry
A Great Dentist
Call or text to make an appointment!
Like us on Facebook
Leave a Google Review
(903) 572-7502
General and Aesthetic Dentistry
515 N Van Buren Ave Mount Pleasant, TX 75455
Home
About
Our Team
Technology
Practice Photos
Services
View All
General Dentistry
Family Dentistry
Preventive Dentistry
Crowns and Bridges
Fillings
Dentures and Partials
Tooth Extractions
Smile Makeovers
Veneers
Cosmetic Dentistry
Smile Gallery
Testimonials
Patient Info
View Patient Info
Forms
Financial
FAQs
Contact
Piney Woods Family Dentistry
>
Smile Gallery
>
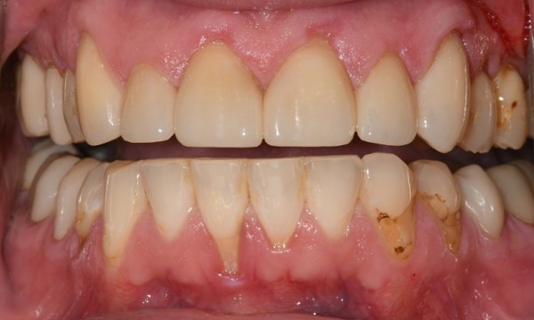
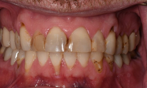
Porcelain Crowns
Porcelain Crowns
Return to Smile Gallery
Previous
Next
Related Services:
Crowns and Bridges
Click image to see a larger picture
Before
After
We Warmly Welcome New Patients to Our Practice
Contact Us
OK!
×
×
Contact Us Today
Give Us A Call
Piney Woods Family Dentistry -
(903) 572-7502
Send Us an Email
Request an Appointment
Contact Us
Ready to Schedule an Appointment?
Book Online
Have Questions? Contact Us:
Required Field
Your Name:
Phone (call or text):
Email:
Are you a new patient?:
Are you a?
New Patient
Current Patient
How would you like us to contact you?
Please choose
Email
Call
How did you hear about us?
Please choose
I'm an existing patient
Google/Bing
Mailer
Word of mouth
Social media
Other
Who Referred You?:
Appointment Preferences
Monday
Tuesday
Wednesday
Thursday
Your Message:
This site is protected by reCAPTCHA and the Google
Privacy Policy
and
Terms of Service
apply.
Sending...
×
This Patient's Experience
Loading Testimonial...
Loading Case...